Javascript must be enabled for the correct page display
Hours & Contact
Monday & Tuesday:
10:00am - 7:00pm
Wednesday & Saturday:
10:00am - 4:00pm
Thursday & Friday:
10:00am - 6:00pm
Have a question? Give us a call!
(347) 802-8371
facebook
instagram
Yelp
google
Main Menu
Menu
Smile Gallery
Services
Emergency Dentist
Chipped Tooth
Emergency Dental Care
Emergency Dental Surgery
Family Dentistry
General Dentistry
Same Day Dentistry
Wellness
Cracked Tooth
Dental Checkup
Dental Cleaning
Dental Hygiene
Dental Sealants
Gum Disease
Gum Health
Laser Dentistry
Mouth Guards
Oral Cancer Screening
Ozone In Dentistry
Preventative Dental Care
Root Scaling and Planing
SMART Amalgam Removal Technique
Restorative
All-on-4 Implants
Composite Fillings
Dental Bonding
Dental Bridges
Dental Crowns
Dental Implants
Dental Implant Restoration
Dentures
Denture Care
Denture Relining
Denture Repair
Immediate Dentures
Implant Supported Dentures
Partial Dentures
Full Mouth Reconstruction
Implants vs. Mini Implants
Prosthodontics Dentistry
Teeth Replacement Options
TeethXpress®
Cosmetic
Clear Aligners
Clear Braces
ClearCorrect® Braces
Dental Veneers
Fastbraces®
Gum Contouring
Invisalign®
Invisalign® for Teens
Lumineers
Smile Makeover
Snap-On Smile
Teeth Whitening
Zoom Teeth Whitening
Conditions
Gum Reccession
Night Guards
Periodontal Disease
Sleep Apnea
TMJ Treatments
Oral Surgery
Bone Grafting
Endodontics
Post-Op Care for Dental Implants
Root Canal Treatment
Sedation
Tooth Extraction
Wisdom Teeth Extraction
Pediatric
Holistic Dentistry
Mercury Safe Dentistry
About Us
Meet the Team
Dentists
Hygienists
Support Staff
Testimonials
Office Tour
FAQs
Blog
Patient Info
Insurance & Financing
Special Offers
New Patients
Find a Dentist
Request an Appointment
Search
Button Bar
Emergency Dentistry
Patient Education
Patient Information
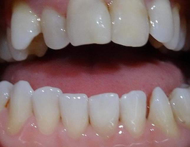
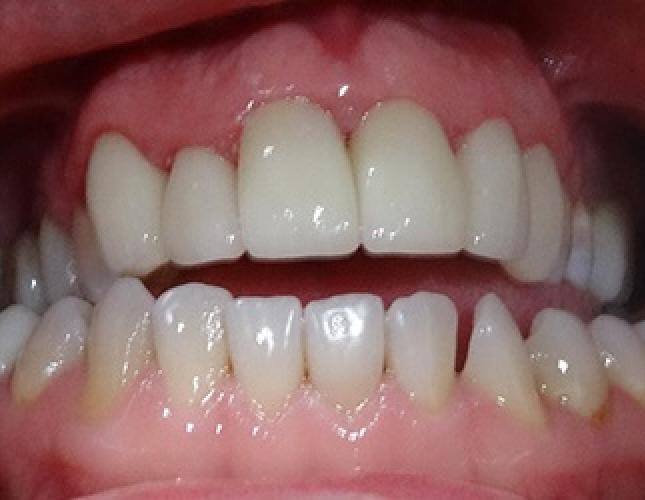
Veneers 1
Anonymous